top of page
Esta página web se diseñó con la plataforma
.com
. Crea tu página web hoy.
Comienza ya
Del Norte
Noticias al instante
INICIO
NOTICIAS
Local
Estatal
Nacional
Internacional
Especial COVID
Arte
Moda
Deportes
Espectaculos
Salud
¿QUIENES SOMOS?
Multimedia
GalerÃa Fotográfica
Galeria de video
Reportaje
Entrevista
More
Use tab to navigate through the menu items.
Mantente actualizado.
Suscríbete
a
nuestro blog.
Los sÃntomas neurológicos del COVID-19 pueden aparecer los primeros
Medidas de higiene a seguir para volver a los cines con seguridad
Coronavirus y comida: Tenemos alimentos para todos, pero no todos pueden acceder a ellos
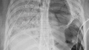
Impactante: le trasplantan los dos pulmones a joven de 20 años por el Covid-19
Hospitales Covid del estado al 43% de capacidad: SecretarÃa de Salud
Ningún 'municipio de la esperanza' retoma actividades en Chihuahua
bottom of page